Expansion Palatine Adulte Avant Après

Expansion Palatine Adulte Avant Après. Comment peuton faire de l’expansion du palais (EPRAM) chez le jeune adulte sans faire une En revanche, cela ne fonctionne pas chez les adultes L'expansion palatine est réalisée pour diverses raisons, telles que la correction d'une mâchoire trop étroite, l'amélioration de la respiration et la correction d'occlusions croisées

Appareil d’expansion palatine
Appareil d’expansion palatine from drebaillargeon.com

Chez les adultes, où les sutures palatines sont plus rigides, une assistance chirurgicale est souvent nécessaire pour réussir l'expansion. L'expansion palatine avant et après démontre des transformations impressionnantes dans l'alignement dentaire, la fonction respiratoire et l'esthétique faciale

Appareil d’expansion palatine

Sur la photo de gauche (initial), on remarque que le menton est dévié vers la gauche de façon assez évidente La chirurgie maxillo-faciale est parfois nécessaire chez l'adulte pour corriger la relation des maxillaires en lien avec la sévérité du problème. Sourires Adultes - Avant et après l'orthodontie; Parodontie : un complément de l'orthodontie

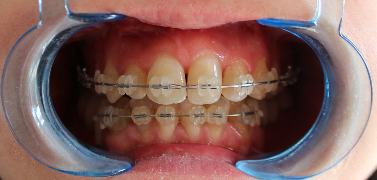
Orthodontie adulte bouche en chantier Expansion palatine photos du chantier près de 5 mois. Cette procédure est généralement effectuée à un jeune âge, mais peut aussi être envisagée chez l'adulte dans certains cas. Avant Après; Financement; Orthodontie à Mirabel; Orthodontie à Prévost; Orthodontie à Blainville; Blog; Contact; Menu.

Orthodontie adulte bouche en chantier décembre 2016. Chez les adultes, où les sutures palatines sont plus rigides, une assistance chirurgicale est souvent nécessaire pour réussir l'expansion. La chirurgie maxillo-faciale est parfois nécessaire chez l'adulte pour corriger la relation des maxillaires en lien avec la sévérité du problème.